Bollington Dental Practice
down white forest plain arrow down forest transparent plain arrow

ClearCorrect® is an advanced clear aligner system to straighten your teeth.

If you’d like a straighter smile without traditional braces, ClearCorrect® offers a discreet and comfortable solution. It’s an effective alternative to metal braces, designed to fit around your lifestyle and daily routine. Unlike other braces and aligners, ClearCorrect® is easy to remove and clean. They also do not require you to visit the dentist for any broken wires. Commonly, ClearCorrect® is popular with young adults and teens who want to fix their smile with a solution that is nearly invisible.

Clear aligner

ClearCorrect®

  • Clear, virtually invisible
  • Smooth and comfortable
  • Removable & easy to clean
  • Eat anything you want
Traditional braces

Traditional Braces

  • Wires and brackets
  • Can decorate with colours
  • Colours can be changed at every visit
  • Non removable
VS

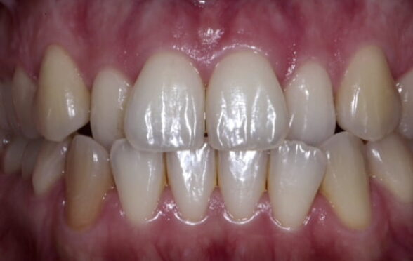
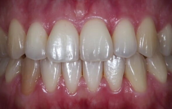
Smile Gallery

Before - Bollington Dental Practice Before
After -Bollington Dental Practice After
Before - Bollington Dental Practice Before
After -Bollington Dental Practice After

Smile Gallery

Before - Bollington Dental Practice Before
After -Bollington Dental Practice After
Before - Bollington Dental Practice Before
After -Bollington Dental Practice After
ClearCorrect

Watch smile gallery cases

Comparison with ClearCorrect® vs other treatments

Other clear aligners

Traditional braces

Made from ClearQuartz™ tri-layer material

check

In-person consultations with real dentists

check
check

Easily removable for eating, drinking & flossing*

check
check

Made from ClearQuartz™ tri-layer material

check

In-person consultations with real dentists

check

Easily removable for eating, drinking & flossing*

check

No emergency visits for broken wires

check

Virtually invisible

check

Each aligner is trimmed to your gum line for optimal comfort and appearance**

check

Covered by many orthodontic insurance plans

check

Easily removable for eating, drinking & flossing*

check

No emergency visits for broken wires

check

Virtually invisible

check

Covered by many orthodontic insurance plans

check

In-person consultations with real dentists

check

Made from traditional brackets and wires

check

Covered by many orthodontic insurance plans

check
In-Person Consultation

What can ClearCorrect® fix?

Crowded teeth

Crowded teeth

Crowded teeth is a condition where you do not have enough room for your teeth to fit normally. This can cause plaque or tartar and other harmful bacteria to build up as it is harder for you to brush and floss well.

Gaps between teeth

Gaps between teeth

Gaps between teeth is when there is extra space between two or more of your teeth. This can cause pockets between your teeth and gums and can cause food to get stuck making them tender and sore. This might also lead to gum disease.

Open bite

Open bite

An Open bite is when your upper and lower teeth don't touch when you close your mouth. An open bite can make it hard for you to chew or difficult to bite even the most common of food like apples.

Underbite

Underbite

An underbite is when you close your mouth and your lower front teeth are in front of your upper teeth. In many cases, this is actually a problem with your lower jaw being too far forward. An underbite can make it hard to chew properly and speak clearly, and it might cause your teeth to wear down more quickly.

Overbite

Overbite

An overbite is when your upper front teeth overlap with your lower front teeth. Most people have at least a little overbite. When your overbite is too large, your doctor might tell you you have a deep bite. This can cause problems, from your teeth wearing down to pain in your jaw.

Crossbite

Crossbite

A crossbite is when you close your mouth and yet some of your upper teeth are sitting inside your lower teeth rather than on the outside. A crossbite can make your teeth wear down or chip. It can also make your gums start to recede or make little notches above your gum line. This kind of damage can lead to painful gum problems or even bone loss.

In-Person Consultation

Cost of ClearCorrect® Clear Braces

Affordable ClearCorrect® treatment

Many people worry about the cost of ClearCorrect® braces, and so we have devised a number of payment plans to help you afford the right treatment with ClearCorrect®. ClearCorrect® braces from £2.50 per day with our finance options.

Learn More

ClearCorrect®

from £ 2499
Book Now

Virtual 3D scan

We can create a 3D image of your teeth in just minutes using our Medit i900 scanner, a leading digital scanner.

Medit scan
medit-logo

FAQs

1. Why do teeth become misaligned?

Teeth may become crowded, crooked, or develop gaps due to:

  • Natural growth and development.
  • Early loss of baby teeth or adult teeth.
  • Habits such as thumb-sucking or tongue-thrusting.
  • Shifting of teeth over time, even in adulthood.

2. How does ClearCorrect® work?

ClearCorrect® uses a series of custom-made, clear aligners that gently guide your teeth into the desired position. The aligners are removable, so you can eat, drink, and brush normally while still progressing toward your ideal smile.

3. How does the at-home system with professional guidance work?

We start by taking a digital scan of your teeth, which allows us to create bespoke aligners that fit your mouth perfectly. You wear each set of aligners for about 1-2 weeks before moving to the next set in the series. Most treatments last several months, depending on the complexity of your case.

4. Will I be in control of my treatment?

One of the benefits of ClearCorrect® is that you can see and track your progress. We provide guidance on wear and monitor your results during regular check-ups. You’re actively involved in achieving the smile you want, while always having professional support available.

5. What should I expect during treatment?

  • A clear plan is created from your digital scan, showing the predicted movement of your teeth.
  • You wear each aligner for the prescribed period (usually 1-2 weeks).
  • Aligners are removed for eating, brushing, and special occasions, making them discreet and convenient.
  • Regular appointments with your dentist ensure treatment stays on track.

6. How do you care for nervous patients?

ClearCorrect® is comfortable and non-invasive, making it ideal for patients who feel nervous about braces. Our experienced team will explain every step, answer your questions, and help you feel confident throughout the treatment.

7. What tips do you have for the best results?

  • Wear your aligners for the recommended 20-22 hours per day.
  • Clean your aligners and teeth regularly to maintain oral hygiene.
  • Avoid skipping steps in the aligner series to keep your treatment on schedule.
  • Attend follow-up appointments so your dentist can monitor your progress.

8. What results can I expect?

A straighter, healthier smile that improves both function and appearance. Because the system is clear and removable, it fits seamlessly into your lifestyle while delivering professional results.

In-Person Consultation

Experience gentle, high-quality care from Ellie Burrows and our friendly Bollington team.

Contact

Get in touch

Get in touch today to book your appointment or ask any questions.

Our partners

Google Rating
4.9
Google Rating
google rating